- This event has passed.
Single Central Protocol with Dean Brew

Hands-On Course | 6 Hours CPD
This shade matching course is limited to just 9 delegates for maximum hands-on experience
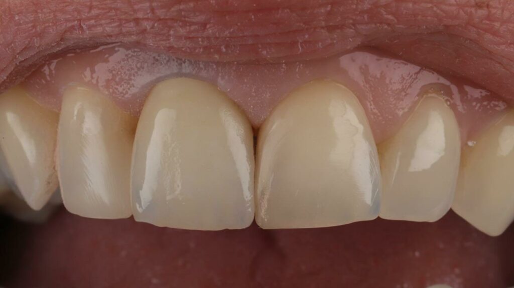
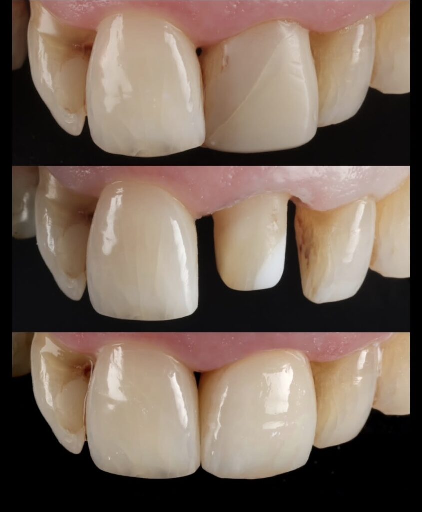
Recreating a lifelike single central incisor is one of the greatest challenges in dental ceramics. This intensive one-day hands-on masterclass is designed for technicians who want to master advanced shade mapping, ceramic layering, and aesthetic finishing techniques for predictable, high-level results.
Led by experienced ceramist Dean Brew, this course blends live patient shade matching, dental photography, and structured ceramic layering workflows using Creation LS and Sagemax Multi+ 2.0 Zirconia.
What You’ll Learn
- Dental photography fundamentals & shade documentation
- Advanced shade matching & shade mapping techniques
- Predictable ceramic layering protocols
- Natural contouring, texture & glazing methods
What You’ll Do
- Perform live patient shade matching
- Full build up on single central incisor
- Stain & glaze molar and microlayer canine
- Work hands-on with Creation LS & Sagemax Multi+ 2.0 Zirconia
Course Details
- Duration: 1 Day | 10:00am – 5:00pm
- CPD: 6 Hours Verifiable
- Location: CM Techstudio, Macclesfield
- Group Size: Maximum 9 delegates
- Included: All materials, lunch, refreshments & certificate
Designed for dental technicians focused on high-end aesthetic dentistry.
👉 Secure your place below! Spaces are strictly limited 👈
A little bit about dean brew
Dean has been in the industry since leaving college in 2007. He had the opportunity to delve into ceramics in 2010, and since then has been completely impassioned by the artistry. Dean has had the chance to work within an on-site lab based in the North-East, which has allowed him to gain a clinical understanding further supporting his craft. He has also had the privilege of meeting and training with some of the best in the industry from all over the world.
Dean’s passion lies within natural restorations, both functionally and aesthetically especially in anterior situations. A particular challenge he enjoys is meeting patients for shade consultations, then planning the case in the lab to fulfil expectations, it allows him to develop a process that has proven success.
Examples of Dean’s work:

We hope to see you there!
Keep an eye on our social media pages for updates – Facebook, Instagram, LinkedIn
Head back to our events page here
