- This event has passed.
Aesthetic Hints & Tips

A Day with Sébastien Mosconi – Hints and Tips: Hands Off and Learn
Join Seb Mosconi, a globally recognised dental technician, for hints & tips. Showcasing an exclusive theory-based course designed to elevate your understanding in aesthetic dentistry, you don’t want to miss this. With extensive experience working on high-profile cases across Europe and beyond, Seb brings a wealth of knowledge, practical insights. These expert techniques will help you refine your approach to Smile Design, shade taking, and veneer fabrication.
This course is ideal for technicians looking to improve their predictability, efficiency, and patient satisfaction in aesthetic treatments. Through a hands-off learning experience, Seb will guide you through complex cases. From initial consultation to final results, ensuring you gain valuable takeaways that you can apply immediately in your daily workflow.
What You Will Learn:
- Master Predictable Mock-Ups – Discover how to create reliable, realistic mock-ups to enhance patient communication and case acceptance.
- Refine Your Smile Design Approach – Learn Seb’s unique adaptation of Smile Design and explore real-world cases that highlight the complexities of aesthetic dentistry.
- Perfect Your Veneer Fabrication Process – Get an in-depth look at both invasive and non-invasive veneer techniques to achieve highly aesthetic, long-lasting results.
- Enhance Your Digital Photography Skills – Learn professional tips on capturing high-quality images to improve case documentation, patient records, and presentations.
- Seamlessly Integrate These Skills into Your Practice – Gain practical, real-world insights that you can directly apply to enhance your workflow and patient outcomes.
Whether you’re looking to improve your artistic eye, enhance your technical skills, or boost patient satisfaction, this course will provide the expert guidance and actionable takeaways you need to succeed.
Don’t miss this opportunity to learn from one of the best in the industry! Secure your place today…
Keep an eye on our social media pages for updates – Facebook, Instagram, LinkedIn!
Head back to our events page here!
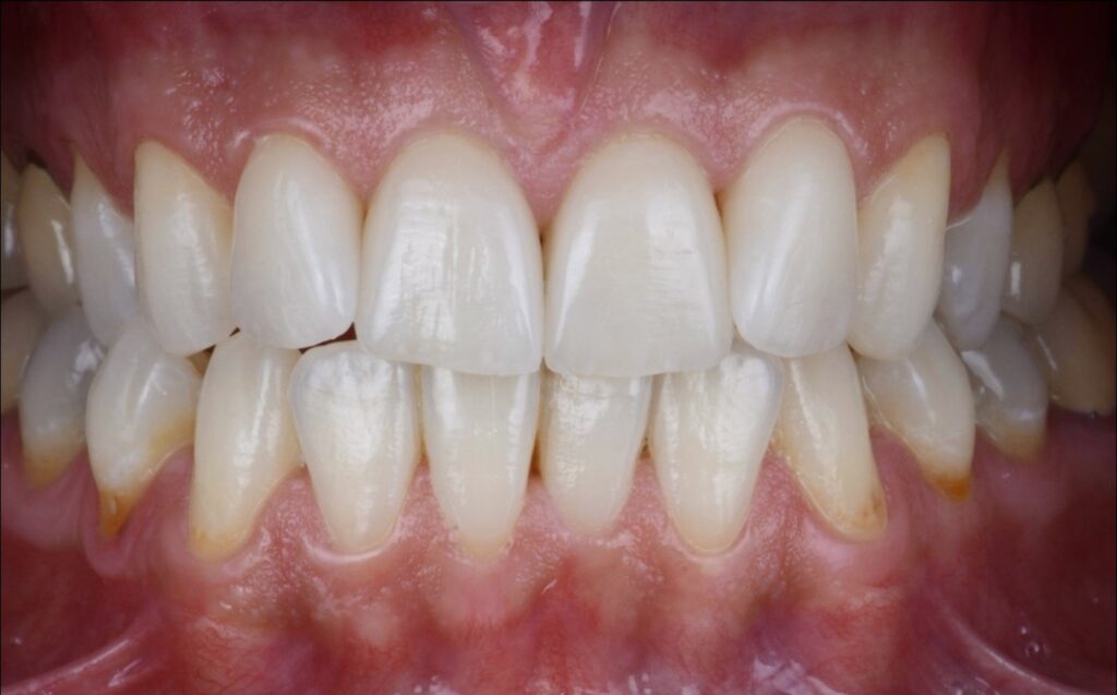
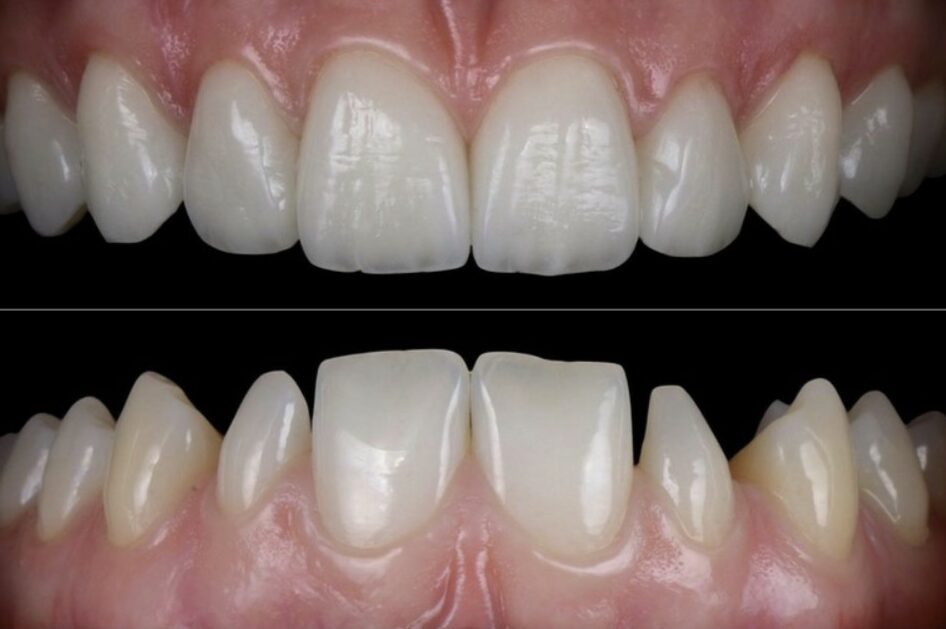
Examples of Sébastien’s work

